+918042757264
Currently it only shows your basic business info. Start adding relevant business details such as description, images and products or services to gain your customers attention by using Boost 360 android app / iOS App / web portal.

Dr Gayatri Dental Speciality Center, Bijalinagar Chinchwad Pune 🦷✨ Dr Gayatri Dental Speciality Cen...
View Details
Dental Clinic in Bijlinagar Chinchwad Pune
View Details
Teeth Alignment procedures in Bijlinagar Chinchwad Pune
View Details
Dr. Gayatri Dental Speciality Center – Bijalinagar, Chinchwad, Pune
View Details
Veneers in Bijlinagar Chinchwad Pune
View Details
Best Dentist in Bijlinagar Chinchwad
View Details
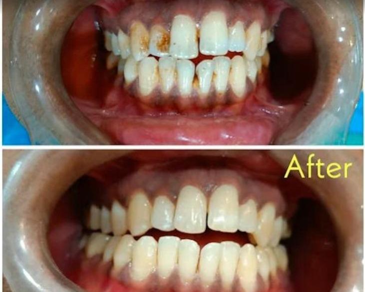
Bleeding Gum Treatment in Bijlinagar Chinchwad Pune
View Details
Best Dental Clinic in Bijlinagar Chinchwad
View Details