+918042757264
Currently it only shows your basic business info. Start adding relevant business details such as description, images and products or services to gain your customers attention by using Boost 360 android app / iOS App / web portal.

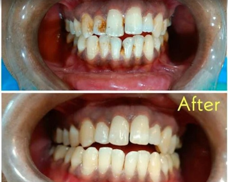
Dr Gayatri Dental Speciality Center, Bijalinagar Chinchwad Pune 🦷✨ Dr Gayatri Dental Speciality Center in Bijalinagar, Chinchwad Pune is a trusted destination for advanced and affordable dental care. The clinic offers comprehensive treatments including root canal therapy, dental implants, teeth whitening, braces, fillings, crowns, and tooth extraction. With modern dental equipment and hygienic practices, patients receive safe and comfortable treatment. The clinic focuses on personalized care, ensuring every patient gets the right diagnosis and solution. Experienced dental professionals provide painless procedures and long-lasting results. Conveniently located in Bijalinagar, the center is easily accessible for patients from Chinchwad, Pimpri, Nigdi, and nearby areas. Emergency dental services and preventive dental check-ups are also available. The clinic is known for transparent pricing and patient-friendly consultation. Regular oral health awareness and smile-design solutions help patients maintain confident smiles. If you are looking for a reliable dental clinic in Chinchwad Pune, Dr Gayatri Dental Speciality Center is an excellent choice for complete dental care.